Ultraschalluntersuchungen

A-Wurf, voraussichtliche Geburt 19.02.2014. Nachfolgend die Bilder der Ultraschalluntersuchung.

Ultraschallbilder vom 29.01.2014. Jetzt sind es nur noch 22 Tage Tragezeit...

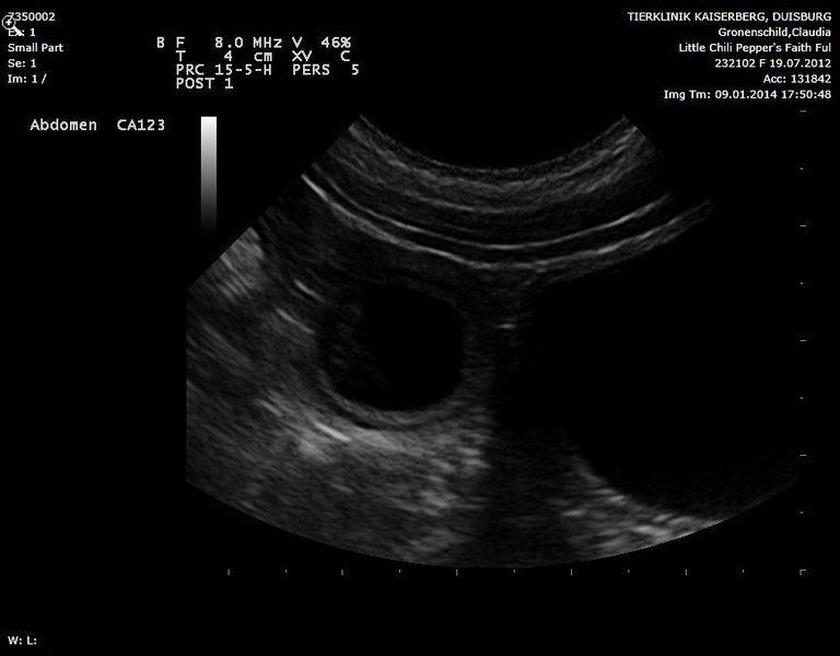
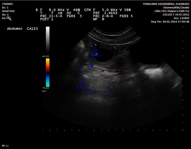
Ultraschallbilder vom 10.01.2014.

Aktuelles

Zaras C-Wurf planen wir für das Frühjahr 2026.

 

24.11.2024

Alle Welpen aus Zaras B-Wurf haben ein zu Hause gefunden.


14.10.2024

Zara's Welpen sind da.

Es sind 4 gesunde Rüden & 2 gesundeHündinnen.

Bilder findet ihr unter "Welpen & Wurfplanung / Zara's B–Wurf"

 

17.09.2024

Mitte Oktober 2024 erwarten wir Zara`s zweiten Wurf

 

15.03.2024

Leider hat Zara nicht aufgenommen.

Wir planen den nächsten Wurf im Herbst/Winter 2024

 

11.02.2024

Zara wurde belegt.

Wenn alles gut geht, erwarte wir im April ihre Welpen.

 

01.02.2024

Unsere Zara ist Läufig und wird zum passenden Zeitpunkt im Februar 2024 gedeckt.

 

08.07.2023

Die Bilder unseres Sommerfestes sind nun online.

 

30.05.2023

Unsere Welpen aus Zara`s ersten Wurf haben alle ein tolles Zuhause gefunden und sind nun ausgezogen.

 

01.05.2023

An unsere Welpeninteressenten!

Wir haben uns aus verschiedenen Gründen entschieden die Zucht nach 10 Jahren mit derRasse Miniatur Bullterrier aufzugeben.

 

Mit der Rasse Staffordshire Bullterrier werden wir unsere Zucht fortsetze.

Wir bedanken uns auf diesem Weg noch einmal für Euer Vertrauen und hoffe mit den Staffy Babys auch noch viele liebe Menschen glücklich zu machen.

 

Claudia & Norbert

 

18.03.2023

Unsere Zara hat 6 gesunde Welpen zur Welt gebracht.

5 Rüden und 1 Hündin!

 

15.02.2023

Wir erwarten Zara's erste Welpen Mitte März 2023! 

 

18.06.2022

Wir planen mit Zara einen Wurf für das Frühjahr 2023.

 

05.06.2022

Alle Welpen aus dem J-Wurf haben nun ein Zuhause gefunden :) 

 

Zara ist läufig und wir hoffen demnächst auf Nachwuchs.

 

25.04.2022

Es sind die ersten Bilder von unserem neuen Wurf online --> Welpen und Wurfplanung --> J-Wurf.

 

16.04.2022

Unsere Mia (Comtess) hat 7 gesunde Welpen zur Welt gebracht, 1 Rüden und 6 Hündinnen. Wir freuen uns! Es ist noch eine Hündin zu vergeben :)

 

15.03.2022

Wir erwarten Ostern unseren J-Wurf von A Jovi und Comtess :)

 

12.09.2021

India hat die Zuchttauglichkeitsprüfung bestanden.

 

30.07.2021

Come out of the Woods Treffen 2021

 

26.06.2021

Zara hat ihre Zuchttauglichkeitsprüfung bestanden.

 

10.11.2020

Unsere Baya hat 5 gesunde Welpen zur Welt gebracht, drei Rüden und zwei Hündinnen. Mehr unter Welpen und Wurfplanung - I-Wurf. Wir freuen uns :-)

 

09.10.2020

Unsere Baya erwartet um den 10. November Ihre Welpen, wir freuen uns riesig :-)

 

31.08.2020

Unsere Baya ist läufig :-)

 

15.08.2020

Es sind einige neue Bilder von unserem kleinen Treffen online, viel Spaß beim Stöbern :-) 

 

02.08.2020

Alle Welpen aus dem H-Wurf haben ein neues zu Hause gefunden :-)

 

06.06.2020

Wir freuen uns, unser H-Wurf ist endlich da :-) Die zwei Hündinnen und der Rüde sind gesund und munter. Alle drei Welpen sind bereits vergeben. 

 

06.05.2020

Wir freuen uns das Mia und Duke Anfang Juni Nachwuchs bekommen. Weitere Informationen sind unter Wurfplanung --> H-Wurf zu finden.

 

06.04.2020

Mia und Duke haben sich getraut, wenn alles gut verläuft, erwarten für wir Anfang Juni Welpen :-)

 

08.03.2020

Wir haben ab und an auch erwachsene Hunde, de aus verschiedenen Gründen ein neues zu Hause suchen. Bei Interesse melden Sie sich bitte nur telefonisch bei uns.

Druckversion | Sitemap
© 2015-2019 Claudia & Norbert Gronenschild